当前位置:肿瘤瞭望>百家>病例>正文

例例在望丨小细胞肺癌免疫治疗:方兴未艾,谨慎前行

作者:肿瘤瞭望   日期:2025/2/24 15:12:59  浏览量:8414

肿瘤瞭望版权所有,谢绝任何形式转载,侵犯版权者必予法律追究。

小细胞肺癌约占所有肺癌的15%,易早期发生转移且生存期较短,2018年以前,小细胞肺癌的主要治疗方式为化疗、放疗。随着免疫治疗的发展,PD-1/PD-L1抑制剂联合化疗逐渐成为小细胞肺癌新的标准,延长患者生存期的同时,也为我们带来了诸多疑惑,本次分享2份临床病例,集众思,广忠益。

例例在望微专辑
扫描二维码
可查看更多内容
 
辛田,马锐辽宁省肿瘤医院胸内二科
 
小细胞肺癌约占所有肺癌的15%,易早期发生转移且生存期较短,2018年以前,小细胞肺癌的主要治疗方式为化疗、放疗。随着免疫治疗的发展,PD-1/PD-L1抑制剂联合化疗逐渐成为小细胞肺癌新的标准,延长患者生存期的同时,也为我们带来了诸多疑惑,本次分享2份临床病例,集众思,广忠益。
 
马锐教授
辽宁省肿瘤医院胸内二科主任,肿瘤学博士
中国医科大学、大连医科大学硕士研究生导师
学术兼职:中国临床肿瘤学会理事会理事,中国老年学学会老年肿瘤专业委员执行委员,中国老年学学会老年肿瘤专业委员肺癌分委会常务委员,中国医药教育协会肺部肿瘤专委会常务委员,辽宁省生命科学学会常务理事,中国抗癌协会肺癌专业委员会委员,辽宁省抗癌协会理事会理事,辽宁省生命科学学会肺癌专业委员会主任委员,辽宁省抗癌协会肿瘤转移专业委员会主任委员,辽宁省抗癌协会肿瘤标志物专业委员会副主任委员,辽宁省医学会内科学分会委员会常务委员,辽宁省生命科学学会老年肿瘤专业委员会常务委员
中国肿瘤生物治疗杂志、中国实用内科、医学与哲学,沈阳医学院学报等多家杂志编委及审稿专家。主持省部级、市级课题9项,获辽宁省科技进步三等奖2项、沈阳市科技进步二等奖1项,第一及通讯作者发表论文40余篇。
 
辛田
辽宁省肿瘤医院胸内二科主治医师
辽宁省生命科学学会肺癌专业委员会青委会,委员
辽宁省细胞生物学会肿瘤精准医疗与大数据管理专业委员会,青年委员
 
病例1
 
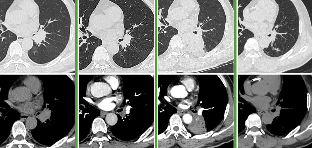
58岁,男,吸烟史40年×20支,2018.12体检发现左肺门占位,穿刺活检未见恶性成分。2019.12复查示左肺占位及纵隔淋巴较前增大,于我院行经食管超声镜下纵隔淋巴结穿刺活检,病理:小细胞癌。全身检查示左肺门、纵隔、肝门淋巴结转移,cT2bN2M1b IVA期广泛期。2020.1入组临床研究,予BGB-A317/安慰剂+EP方案化疗4周期,2020.4起行BGB-A317/安慰剂维持治疗,研究结束时揭盲,为BGB-A317组,继续免疫维持治疗至今(84周期)。截至2025.2.20
 
治疗小结:替雷利珠单抗+EP×4、替雷利珠单抗×84+,PFS 62个月+。
 
图:左起依次为基线、免疫联合化疗4周期后、末次随访
 
病例2
 
58岁,男,吸烟史40年×30支,2020.6出现咳嗽,CT见左肺门占位,气管镜取病理示小细胞癌,cT1cN0M0 IA3期,于当地医院行EP方案化疗4周期,病灶缩小,序贯胸部放疗。2021.4复查见左肺新发占位,又行TP方案化疗2周期,评效PD。2021.9来我中心就诊,气管镜再活检示小细胞癌,rT1cN1M0 IIB期局限期。予EP方案化疗2周期,评效SD,改安罗替尼+EP方案化疗4周期,评效SD-,后安罗替尼维持治疗。2023.9复查CT见左肺病变增大、左下肺部分不张,气管镜见左下肺开口狭窄,活检见肿瘤细胞,未行免疫组化。全身检查未见远处转移,行斯鲁利单抗+白蛋白紫杉醇化疗4周期,评效PR,后斯鲁利单抗维持治疗至今(17周期)。截至2025.2.20
 
治疗小结:1.EP×4序贯胸部放疗,PFS 10个月;
 
2.TP×2,PFS 1.5个月;
 
3.EP×2、安罗替尼+EP×4、安罗替尼,PFS 24个月;
 
4.斯鲁利单抗+白蛋白紫杉醇×4、斯鲁利单抗×17+,PFS 17个月+。
 
图:左起依次为三线治疗前、三线治疗后、四线治疗前、末次随访

病例讨论
 
2025年1月出版了最新的《小细胞肺癌免疫治疗专家共识(2025版)》,对于ES-SCLC一线治疗有了两项共识,即免疫联合化疗或贝莫苏拜单抗+安罗替尼+化疗为强推荐的标准方案。随着适应症及医保的获批,一线标准方案已经广泛应用于临床,也带来了新的疑问。如病例1,患者一线经标准治疗后获得了超出预期的PFS,那么问题1:一线免疫治疗有效的前提下,应该持续多久?一年?两年?或是直至不可耐受或疾病进展?问题2:一线免疫治疗维持期间,PET-CT显示病灶仍有代谢活性,是选择继续免疫维持,还是增加局部治疗?
 
对于LS-SCLC,目前免疫治疗的推荐时机为同步放化疗后Durvalumab巩固。既往研究中后线的PD-1/PD-L1抑制剂疗效均欠佳,目前共识仅推荐Tarlatamab为复发SCLC的治疗选择。但临床中仍能碰到部分病人如病例2,因各种原因未能在治疗初期接受免疫治疗,他在后线仍有机会从免疫治疗中获益。
 
总结
 
ES-SCLC的一线标准治疗为免疫联合化疗或贝莫苏拜单抗+安罗替尼+化疗;LS-SCLC同步放化疗后病情未进展者使用Durvalumab巩固2年;复发的SCLC可选Tarlatamab;免疫治疗的持续时间尚无定论,应注意安全性随访;一线治疗未能使用免疫治疗的患者,后线治疗中也应考虑免疫治疗。

本内容仅供医学专业人士参考


小细胞肺癌

分享到: 更多