当前位置:肿瘤瞭望>资讯>快讯>正文

乳腺癌HER2状态对CDK4/6活性的影响

作者:肿瘤瞭望   日期:2023/8/9 11:15:58  浏览量:11511

肿瘤瞭望版权所有,谢绝任何形式转载,侵犯版权者必予法律追究。

目前CDK4/6抑制剂已获批用于治疗HR+/HER2-晚期乳腺癌,但尚未明确在HER2阳性(HER2+)乳腺癌人群的疗效。这项研究通过评估HER2+乳腺癌pRb的水平来分析HER2状态对CDK4/6活性的影响。研究结果表明,HER2+的pRb明显高于HER2-(P=0.001)。在HER2+病例中,HER2拷贝数与pRb水平存在正相关,但无统计学意义。HER2+使用CDK4/6抑制剂治疗时可能有所缓解,pRb可作为预测的生物标志物。

编者按:目前CDK4/6抑制剂已获批用于治疗HR+/HER2-晚期乳腺癌,但尚未明确在HER2阳性(HER2+)乳腺癌人群的疗效。这项研究通过评估HER2+乳腺癌pRb的水平来分析HER2状态对CDK4/6活性的影响。研究结果表明,HER2+的pRb明显高于HER2-(P=0.001)。在HER2+病例中,HER2拷贝数与pRb水平存在正相关,但无统计学意义。HER2+使用CDK4/6抑制剂治疗时可能有所缓解,pRb可作为预测的生物标志物。
 

研究背景
 
随着科技发展,细胞周期蛋白依赖性激酶(CDK)抑制剂的发现为临床医生提供了新的治疗选择,尤其是雌激素受体阳性、人表皮生长因子受体2阴性(ER+/HER2-)乳腺癌[1]。细胞周期蛋白和CDK是细胞周期和细胞分裂所需的重要成分,细胞周期蛋白D-CDK4/6-Rb通路在G1转变为S期的过程中至关重要。细胞周期蛋白D1可通过不同的信号通路来响应各种外部刺激;然后与CDK4/6形成复合物,导致蛋白激酶激活并继续单磷酸化视网膜母细胞瘤蛋白(Rb),使Rb介导的E2F转录因子抑制降低,从而使细胞周期蛋白E表达。Rb蛋白随后通过细胞周期蛋白E和CDK2的作用过度磷酸化,改变构象以抑制E2F转录因子的结合,然后释放E2F转录因子并启动多种下游功能,包括细胞进入S期。
 
大约70%-75%的乳腺癌病例为ER+[2]。雌激素的作用之一是通过细胞周期蛋白D1-CDK4/6-Rb通路调节细胞周期[3],通过雌激素受体α(ERα)可增加细胞周期蛋白D1的表达。细胞周期蛋白D1也可直接结合ERα并诱导ER介导的转录[4]。细胞周期蛋白D1-CDK4/6-pRb通路的失调在乳腺癌的发生和发展中起着重要作用。因此,首先在ER+乳腺癌患者中研究了CDK4/6抑制剂的疗效[5]
 
当细胞周期蛋白D与CDK4/6结合时,Rb被磷酸化。磷酸化Rb(pRb)的存在可能代表完整的细胞周期蛋白D-CDK4/6-Rb通路,而CDK4/6抑制剂可以靶向该通路。Rb上的Ser807/811位点是CDK4的主要磷酸化位点之一[6]。因此本研究评估了HER2+乳腺癌中的pRb(Ser807/811)水平,以确定HER2状态是否对CDK4/6活性有影响,这可为CDK4/6抑制剂在HER2+乳腺癌中的疗效提供数据。
 
研究结果
 
样本特征
 
纳入130例浸润性乳腺癌,其中ER-/PR-/HER2+38例(包括浸润性导管癌36例,浸润性小叶癌2例);ER+/PR±/HER2+39例(包括浸润性导管癌35例,浸润性小叶癌3例,浸润性导管和小叶混合癌1例);ER-/PR-/HER2-53例(包括浸润性导管癌46例,浸润性小叶癌1例,多形性小叶癌2例,化生性浸润性癌1例,低分化癌3例)。
 
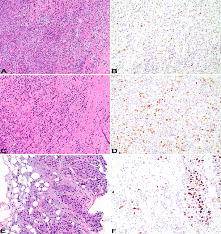
△pRb的H&E染色和免疫组化染色的代表性病例
 
HER2+导致pRb水平显著升高
 
pRb的染色在不同样品中不同,无论是强度还是百分比。总体而言,pRb H分数范围为3-270。将H分数划分为低(1-100)、中(101-200)和高(201-300)3类时,ER-/PR-/HER2+在3类中的比例分别为52.6%、31.6%、15.8%;ER+/PR±/HER2+的比例分别为56.4%、38.5%、5.1%;ER-/PR-/HER2-的比例分别为79.2%、15.1%、5.7%。相比之下,HER2+人群(包括ER-/PR-/HER2+和ER+/PR±/HER2+)的平均H评分显著高于HER2-人群(P=0.001)。此外,当ER-/PR-/HER2+和ER+/PR±/HER2+分别与ER-/PR-/HER2-进行比较时,两组均显著高于后者(P=0.001,P=0.03)。
 
△ER-/PR-/HER2+、ER+/PR±/HER2+和ER-/PR-/HER2-中的pRb H平均分数
 
HER2基因拷贝数与pRb水平呈弱正相关
 
对于HER2+病例,每个细胞的HER2基因拷贝数范围为3.9-37.5。ER-/PR-/HER2+亚组的平均基因拷贝数为20.04±8.54,ER+/PR±/HER2+亚组为13.96±7.67。相比之下,ER+/PR±/HER2+亚组的HER2基因拷贝数明显低于ER-/PR-/HER2+亚组(P=0.001)。分析所有HER2+病例表明,HER2基因拷贝数与pRb H评分之间呈正相关,但无统计学意义(r=0.192,95%CI,[-0.033,0.399],P=0.09)。
 
△HER2+病例中HER2基因拷贝数与pRb H分数之间的关系
 
研究讨论
 
临床前证据已将细胞周期蛋白D1确定为HER2-neu诱导恶性转化的关键下游靶标[7]。本项研究发现,与HER2-病例相比,HER2+病例通常具有更高的pRb水平,与临床前结果一致;表明HER2+乳腺癌中的CDK4/6激酶活性更高,使用CDK4/6抑制剂治疗可能有效。
 
研究发现,HER2基因拷贝数和pRb水平呈正相关;表明HER2基因拷贝数可反映CDK4/6活性(即基因拷贝数越高,CDK4/6活性越强)。如果CDK4/6抑制剂被批准用于HER2+乳腺癌治疗,则可能需要根据HER2基因拷贝数确定药物剂量。在HER2+病例中,ER+的HER2基因拷贝数通常低于ER-,与其他研究一致[8],但ER+/PR±/HER2+和ER-/PR-/HER2+组之间的pRb水平没有显著差异。在模型中,CDK4/6抑制剂联合抗HER2治疗比单一药物更能抑制肿瘤生长[9],表明HER2靶向治疗和CDK4/6抑制剂的潜在协同作用。
 
Rb是CDK4/6抑制剂作用的核心。多项研究对Rb的表达、Rb1基因的改变以及Rb磷酸化进行了研究。最近的一项研究表明,获得性Rb1突变与转移性HR+乳腺癌患者对CDK4/6抑制剂的获得性耐药有关[10]。本研究表明,pRb水平与HER2基因拷贝数呈弱正相关,需要进一步的研究来确定其生物标志物的价值。在本研究中,5.7%(53例中的3例)的ER-/PR-/HER2-乳腺癌患者存在高水平的pRb,表明细胞周期蛋白D1-CDK4/6-Rb通路在部分三阴性乳腺癌患者中被激活;如果得到证实,这些患者也可能受益于CDK4/6抑制剂的治疗。
 
研究结论
 
这项研究使用pRb作为CDK4/6活性指标,证明了HER2+会导致pRb水平显著升高,并且HER2基因拷贝数与pRb水平之间存在正相关。结果表明,HER2+使用CDK4/6抑制剂治疗时可能有所缓解,pRb可作为预测的生物标志物。
 
参考文献
 
1.Pernas S,Tolaney S M,Winer E P,et al.CDK4/6 inhibition in breast cancer:current practice and future directions[J].Therapeutic advances in medical oncology,2018,10:1758835918786451.
 
2.Howlader N,Altekruse S F,Li C I,et al.US incidence of breast cancer subtypes defined by joint hormone receptor and HER2 status[J].JNCI:Journal of the National Cancer Institute,2014,106(5).
 
3.Butt A J,McNeil C M,Musgrove E A,et al.Downstream targets of growth factor and oestrogen signalling and endocrine resistance:the potential roles of c-Myc,cyclin D1 and cyclin E[J].Endocrine Related Cancer,2005,12(1):S47.
 
4.Zwijsen R M L,Wientjens E,Klompmaker R,et al.CDK-independent activation of estrogen receptor by cyclin D1[J].Cell,1997,88(3):405-415.
 
5.Finn R S,Crown J P,Lang I,et al.The cyclin-dependent kinase 4/6 inhibitor palbociclib in combination with letrozole versus letrozole alone as first-line treatment of oestrogen receptor-positive,HER2-negative,advanced breast cancer(PALOMA-1/TRIO-18):a randomised phase 2 study[J].The lancet oncology,2015,16(1):25-35.
 
6.Rubin S M.Deciphering the retinoblastoma protein phosphorylation code[J].Trends in biochemical sciences,2013,38(1):12-19.
 
7.Lee R J,Albanese C,Fu M,et al.Cyclin D1 is required for transformation by activated Neu and is induced through an E2F-dependent signaling pathway[J].Molecular and cellular biology,2000,20(2):672-683.
 
8.Adamczyk A,Kruczak A,Harazin-Lechowska A,et al.Relationship between HER2 gene status and selected potential biological features related to trastuzumab resistance and its influence on survival of breast cancer patients undergoing trastuzumab adjuvant treatment[J].OncoTargets and therapy,2018:4525-4535.
 
9.Goel S,Wang Q,Watt A C,et al.Overcoming therapeutic resistance in HER2-positive breast cancers with CDK4/6 inhibitors[J].Cancer cell,2016,29(3):255-269.
 
10.Condorelli R,Spring L,O’shaughnessy J,et al.Polyclonal RB1 mutations and acquired resistance to CDK 4/6 inhibitors in patients with metastatic breast cancer[J].Annals of Oncology,2018,29(3):640-645.
 
审批号:CN-115671
有效期至:2024-5-24
声明:本材料由阿斯利康支持,仅供医疗卫生专业人士参考

本内容仅供医学专业人士参考


乳腺癌诊疗研究进展

分享到: 更多